КП “Рівненський обласний протипухлинний центр”
Рівненської обласної ради

Онкохірургами успішно проведено складну операцію при неординарному випадку

NoneNoneNone
 
     Рівненські онкохірурги успішно прооперували 15-сантиметрову пухлину печінки
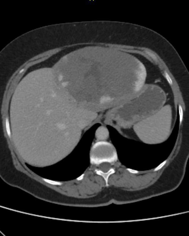
Гемангіома печінки - найпоширеніша доброякісна пухлина цього органу. Вона трапляється у 2–20% населення і в більшості випадків не викликає симптомів та не потребує лікування.
Втім, при швидкому рості, великих розмірах, компресії сусідніх органів або больовому синдромі виникає необхідність хірургічного втручання.
    У нашому центрі ми отримали рідкісний випадок - пацієнтка, 64 роки, раніше проходила лікування в Рівненському обласному протипухлинному центрі та щороку перебувала під КТ-контролем у межах follow-up.
За рік гемангіома печінки збільшилась з 4 см до 15 см, що стало прямим показом до оперативного лікування.
Командою хірургів: Маргаритою Пісецькою, Андрієм Валяєвим та Павлом Рябошапком виконано лапароскопічну лівобічну гемігепатектомію.
  Переваги лапароскопічного підходу
- менша операційна травма
- нижча інтенсивність больового синдрому
- швидше відновлення пацієнта порівняно з відкритими операціями
      Після оперативного втручання пацієнтка виписана у задовільному стані на 6-ту добу та повернулась додому.
Сучасні хірургічні технології - це точність, безпека та якість життя пацієнтів.